ارتودنسی دندان خرگوشی بهترین روش برای اصلاح جلو بودن دندانها و ایجاد لبخندی زیبا و متقارن است. با درمان تخصصی، طرح لبخند خود را تغییر دهید.
دندانهای خرگوشی یکی از مشکلات شایع در زیبایی لبخند هستند که نهتنها ظاهر صورت را تحت تأثیر قرار میدهند، بلکه در درازمدت میتوانند باعث بروز مشکلاتی در جویدن، تلفظ کلمات و حتی سلامت فک و لثه شوند. خوشبختانه امروزه با پیشرفت علم دندانپزشکی، ارتودنسی دندان خرگوشی یکی از مؤثرترین و پایدارترین روشها برای اصلاح این ناهنجاری بهشمار میرود.
در این مقاله از ابتدا تا انتها با مفهوم دندان خرگوشی، علل بروز آن، روشهای درمانی و نکات مهم مراقبتی بعد از ارتودنسی آشنا میشویم.

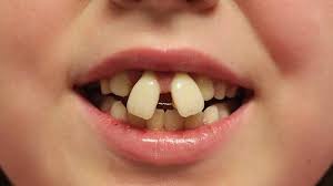
دندان خرگوشی چیست؟
به حالتی گفته میشود که دندانهای پیشین فک بالا جلوتر از حد طبیعی قرار دارند و هنگام لبخند یا صحبت، بهصورت برجسته از لب بیرون میزنند. این بیرونزدگی معمولاً در دندانهای پیش بالایی دیده میشود و باعث میشود لب بالا کمی جلوتر یا برجستهتر دیده شود؛ به همین دلیل به این نوع ناهنجاری، دندان خرگوشی (Buck Teeth) گفته میشود.
علائم ظاهری دندان خرگوشی
- جلو بودن بیش از اندازهی دندانهای جلویی فک بالا
- دشواری در بستن کامل لبها روی یکدیگر
- لبخند غیرقرینه یا لبخندی که دندانها بیش از حد دیده میشوند
- بیرونزدگی لب بالا نسبت به لب پایین
- در برخی موارد تغییر فرم چانه یا فک پایین بهمرور زمان







علت بروز دندان خرگوشی
پیدایش این نوع ناهنجاری ممکن است به دلایل مختلفی رخ دهد. برخی از شایعترین علل عبارتاند از:
۱. عوامل ژنتیکی و ارثی
یکی از مهمترین دلایل دندان خرگوشی، وراثت است. اگر یکی از والدین دارای فک جلو یا دندانهای بیرونزده باشد، احتمال انتقال این ویژگی به فرزند زیاد است.
۲. عادتهای غلط در کودکی
برخی از رفتارهای دوران کودکی مانند:
مکیدن انگشت شست
استفاده طولانی از پستانک یا شیشه شیر
فشار دادن زبان به دندانهای جلو
میتوانند باعث جلو آمدن تدریجی دندانهای پیشین و تغییر شکل فک بالا شوند.
۳. نامناسب بودن اندازه فکها
در صورتی که فک بالا بزرگتر از فک پایین باشد یا فک پایین رشد کافی نداشته باشد، دندانهای بالایی جلوتر دیده میشوند.
۴. مشکلات تنفسی
کودکانی که به دلیل آلرژی، انحراف بینی یا لوزههای بزرگ از راه دهان تنفس میکنند، در معرض تغییر فرم فک و جلو آمدن دندانهای بالا قرار میگیرند.
درباره ارتودنسی دندان خرگوشی بدانیم

*چرا درمان دندان خرگوشی اهمیت دارد؟*
بسیاری از افراد تصور میکنند که دندان خرگوشی فقط یک مسئله زیبایی است، اما در واقع این مشکل میتواند پیامدهای جدیتری نیز داشته باشد:
افزایش احتمال شکستگی دندانها: دندانهای جلوآمده در معرض ضربه یا شکستگی بیشتری هستند.
اختلال در گفتار: تلفظ برخی حروف مانند “س” و “ز” ممکن است دشوار شود.
مشکلات گوارشی: جویدن ناقص غذا باعث فشار به معده میشود.
ناراحتیهای فکی: فشار نامتعادل بین دو فک میتواند باعث درد فک یا مفصل گیجگاهی شود.
کاهش اعتمادبهنفس: ظاهر نامتقارن لبخند، تأثیر مستقیمی بر روابط اجتماعی و شغلی دارد.

ارتودنسی دندان خرگوشی چیست و چگونه انجام میشود؟
ارتودنسی، یکی از شاخههای تخصصی دندانپزشکی است که هدف آن اصلاح ناهنجاریهای فک و نامرتبی دندانها با کمک براکتها، سیمها و ابزارهای مخصوص است.
در درمان دندان خرگوشی، متخصص ارتودنسی با اعمال نیروهای کنترلشده، دندانهای جلوآمده را به مرور زمان به موقعیت صحیح خود بازمیگرداند.
مراحل ارتودنسی دندان خرگوشی
۱. معاینه و ارزیابی اولیه
در اولین مراجعه، پزشک با معاینه دهان و گرفتن عکسهای رادیوگرافی (پانورامیک و سفالومتریک) میزان جلوآمدگی دندانها و وضعیت فکها را بررسی میکند.
۲. طرح درمان اختصاصی
بر اساس نتایج معاینه، نوع ارتودنسی، مدت درمان و ابزار مناسب انتخاب میشود. در برخی موارد ممکن است نیاز به کشیدن دندان یا درمان فک نیز وجود داشته باشد.
۳. نصب براکتها
در ارتودنسی ثابت، براکتها روی دندانها چسبانده میشوند و با سیم به یکدیگر متصل میگردند. در ارتودنسی متحرک نیز از پلاکهای شفاف یا دستگاههای مخصوص استفاده میشود.
۴. تنظیم دورهای
بیمار معمولاً هر ۴ تا ۶ هفته یکبار به متخصص مراجعه میکند تا میزان فشار تنظیم و حرکت دندانها کنترل شود.
۵. پایان درمان و تثبیت نتیجه
پس از پایان درمان، از ریتینر (نگهدارنده) برای حفظ موقعیت جدید دندانها استفاده میشود تا احتمال بازگشت وجود نداشته باشد.

انواع ارتودنسی مناسب برای دندان خرگوشی
۱. ارتودنسی ثابت فلزی
رایجترین و مؤثرترین روش درمانی است. براکتهای فلزی روی دندان نصب شده و حرکت دندانها را با دقت کنترل میکنند.
مزایا: بیشترین دقت و کنترل در حرکت دندانها
معایب: ظاهر فلزی ممکن است برای برخی آزاردهنده باشد
۲. ارتودنسی سرامیکی (همرنگ دندان)
در این روش براکتها از جنس سرامیک شفاف هستند و کمتر دیده میشوند.
مزایا: ظاهر زیباتر نسبت به فلزی
معایب: هزینه بالاتر و احتمال شکستگی بیشتر
۳. ارتودنسی نامرئی یا اینویزیلاین
پلاکهای شفاف و متحرکی هستند که روی دندان قرار گرفته و هر دو هفته یکبار تعویض میشوند.
مزایا: دیده نمیشوند، قابلبرداشتن هستند
معایب: برای ناهنجاریهای شدید توصیه نمیشوند
۴. ارتودنسی متحرک
بیشتر برای کودکان استفاده میشود تا از رشد نادرست فک جلوگیری شود یا دندانهای در حال رشد را به موقعیت مناسب هدایت کند.
مدت زمان درمان ارتودنسی دندان خرگوشی
مدت زمان درمان بستگی به شدت ناهنجاری، نوع ارتودنسی و همکاری بیمار دارد.
بهطور میانگین:
- در بزرگسالان بین ۱۸ تا ۳۰ ماه
- در کودکان بین ۱۲ تا ۱۸ ماه طول میکشد.
- البته در موارد خفیف ممکن است کمتر از یک سال نتیجه مطلوب حاصل شود.
آیا ارتودنسی دندان خرگوشی درد دارد؟
در روزهای ابتدایی پس از نصب براکت یا تنظیم سیم، ممکن است احساس درد یا فشار خفیفی وجود داشته باشد که طبیعی است و طی چند روز برطرف میشود. استفاده از غذای نرم و دهانشویه نمکی میتواند به کاهش ناراحتی کمک کند.
ارتودنسی اصولاً دردناک نیست، بلکه نیاز به صبر و همکاری بیمار دارد.
مراقبتهای لازم در طول درمان ارتودنسی دندان
1. رعایت دقیق بهداشت دهان و دندان؛ استفاده از مسواک مخصوص ارتودنسی و نخ دندان.
2. پرهیز از خوردن خوراکیهای سفت و چسبناک مانند آدامس، پفک و تهدیگ.
3. مراجعه منظم به پزشک برای تنظیم و بررسی پیشرفت درمان.
4. عدم دستکاری براکتها یا سیمها با دست یا زبان.
5. در صورت جدا شدن براکت یا بریدگی سیم، سریعاً به دندانپزشک مراجعه کنید.
هزینه ارتودنسی دندان خرگوشی در سال ۱۴۰۴
هزینه ارتودنسی دندان به عوامل مختلفی بستگی دارد، از جمله:
- نوع ارتودنسی (فلزی، سرامیکی، نامرئی)
- شدت ناهنجاری
- نیاز به کشیدن دندان یا جراحی فک
- سابقه درمانهای قبلی
در سال ۱۴۰۴، هزینه ارتودنسی دندان خرگوشی در کلینیکهای تهران معمولاً از حدود ۲۵ تا ۶۰ میلیون تومان متغیر است. البته مشاوره و معاینه اولیه معمولاً رایگان یا با هزینه اندک انجام میشود.
تفاوت ارتودنسی دندان خرگوشی در کودکان و بزرگسالان
ویژگی کودکان بزرگسالان
نوع درمان بیشتر متحرک اغلب ثابت
مدت درمان کوتاهتر طولانیتر
میزان تغییر فک امکانپذیر است محدودتر
همکاری بیمار نیاز به نظارت والدین دارد خودکنترل است
نتیجه درمان سریعتر و ماندگارتر کمی زمانبرتر
پیشنهاد میشود والدین از سن ۷ تا ۱۰ سالگی کودک را برای ارزیابی فک و دندان به متخصص ارتودنسی مراجعه دهند، زیرا درمان در این سنین سادهتر و مؤثرتر است.
آیا دندان خرگوشی بدون ارتودنسی درمان میشود؟
در موارد بسیار خفیف، ممکن است از روشهای زیبایی مانند ونیر کامپوزیت یا لمینت دندان برای پوشاندن ظاهر جلوآمدگی استفاده شود، اما باید توجه داشت که این روشها صرفاً جنبه ظاهری دارند و مشکل فک یا موقعیت دندانها را اصلاح نمیکنند.
بنابراین، درمان اصلی و اصولی برای دندان خرگوشی همچنان ارتودنسی است.
مراقبتهای بعد از اتمام ارتودنسی دندان
پس از اتمام درمان، استفاده از ریتینر (نگهدارنده) برای حفظ فرم جدید دندانها ضروری است. معمولاً باید بین ۶ ماه تا یک سال از آن استفاده شود.
همچنین رعایت نکات زیر اهمیت دارد:
- مسواک زدن و جرمگیری منظم
- خودداری از فشار دادن دندانها یا دندان قروچه
- مراجعه دورهای به پزشک برای چکاپ
- اجتناب از عادتهای بد مانند گاز زدن اجسام سخت
لبخند زیبا با دندانهای هماهنگ در کلینیک قلهک
ارتودنسی دندان خرگوشی نهتنها به زیبایی چهره و لبخند شما کمک میکند، بلکه عملکرد فک، گفتار و اعتمادبهنفس را نیز بهبود میبخشد. این درمان نیاز به صبر، مراقبت و همکاری با دندانپزشک دارد، اما نتیجهی آن یک لبخند طبیعی، هماهنگ و ماندگار است.
اگر دندانهای جلوآمده دارید یا احساس میکنید فرم لبخندتان نامتقارن است، بهترین کار مراجعه به متخصص ارتودنسی برای معاینه و تشخیص دقیق است. درمان بهموقع نهتنها ظاهر شما را زیباتر میکند، بلکه از بسیاری مشکلات دهانی و فکی آینده پیشگیری مینماید.
کلینیک قلهک در تهران یکی از مراکز تخصصی دندان می باشد که دارای دندانپزشکان متخصص است و این برای کسانی که به دنبال خدمات دندانپزشکی در کنار دندانپزشک با تجربه هستند فرصت مناسبی است تا از خدمات این مجموعه بهره مند شوید.
جهت کسب اطلاعات بیشتر می تواند به وب سایت کلینیک مراجعه فرمایید.
https://clinicgholhak.com/